お知らせ
矯正で人生変わる!? 抜歯しないマウスピース矯正の術前術後(*^^*)
2026.4.20
目次
こんにちは。赤羽歯科理事 歯科医師大竹です。
当院では大変多くのマウスピース矯正希望の患者さんがご来院いただいています。
マウスピース矯正では、抜歯せずに短期間で終わることの多い矯正方法です。
歯並びを改善することでブラッシングしやすくなり、審美だけでなく歯周病の予防にもなります。
そして何よりも、人生が好転する患者さん多数です!!
矯正治療を施術することで患者さんの人生を大きく変えることは珍しいことではなく、歯科医師として患者さんの幸せに加担できる喜びを日々実感しています(*^^*)
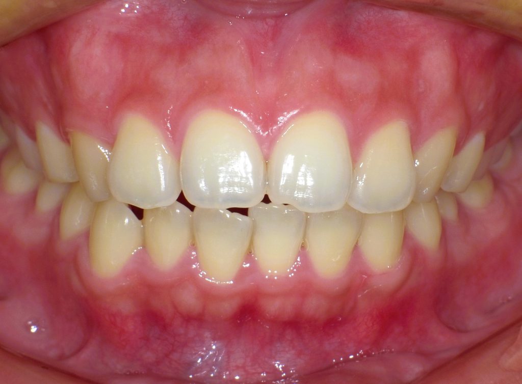
本日は、ほんの一部の症例の術前術後の写真を供覧いたします。
主訴:前歯が開いてるのが気になる。綺麗に並べて欲しい
治療方法:マウスピース型矯正装置
治療期間、費用:3か月/330,000円
リスク、副作用:軽度の痛みや違和感、治療中の歯周病、虫歯リスク等
主訴:前歯が開いてる。前歯を綺麗にして欲しい
治療方法:マウスピース型矯正装置
治療期間、費用:3か月/330,000円
リスク等:軽度の痛みや違和感、治療中の歯周病、虫歯リスク等
主訴:前歯を綺麗に並べて欲しい
治療方法:マウスピース型矯正装置
治療期間、費用:3か月/330,000円
主なリスク、副作用:痛みや違和感、治療中の歯周病、虫歯リスク等
主訴:前歯が開いてる。前歯を綺麗に並べて欲しい
治療方法:マウスピース型矯正装置
治療期間、費用:3か月/33,0000円
主なリスク、副作用:痛みや違和感、治療中の歯周病、虫歯リスク等
主訴:前歯がガタガタ。前歯を綺麗にしたい
治療方法:マウスピース型矯正装置
治療期間、費用:3か月/33,0000円
主なリスク、副作用:痛みや違和感、治療中の歯周病、虫歯リスク等
主訴:前歯を綺麗にしたい
治療方法:マウスピース型矯正装置
治療期間、費用:3か月/330,000円
主なリスク、副作用:痛みや違和感、治療中の歯周病、虫歯リスク等
マウスピース矯正は、ワイヤー矯正と比較して抜歯は行わずに短期間で終わることが圧倒的に多く、金額も抑えめです。
赤羽歯科池袋では 22万円~ マウスピース矯正を行っています。
症例の難易度により金額が変わりますので歯並びに自信のない方、気になる方は是非赤羽歯科池袋までご来院ください。
赤羽歯科池袋診療所はサンシャイン60ビル8階にございます。池袋駅東口から徒歩8分。東池袋駅直結徒歩3分。雨に濡れずにご来院できます。
スタッフ一同お待ちしております。
人気記事ランキング
-
1
はちみつとむし歯の関係
こんにちは。池袋、東池袋、サンシャイン60の歯医者、「医療法人社団 歯友会 赤羽歯科 池袋診療所」歯科衛生士 久慈です。 はちみつと虫歯予防 このフレーズを見て、「え?はち...
-
2
コンタクトの調整、コンタクトゲージについて
みなさんこんにちは! 医療法人社団 歯友会 池袋診療所 歯科医師 の 増井博文です。 歯の詰め物や被せ物をどのように調整しているのか。 みなさん1度は気になったことはありませんか? 今回は詰め物や被せ...
-
3
歯周病の検査のときに使っている!プローブの種類について
歯周病の検査のときに使っている!プローブの種類について こんにちは! 池袋、東池袋、サンシャイン60ビルの歯医者「医療法人社団 歯友会 赤羽歯科 池袋診療所」 歯科衛生士の中村です。 &...
















